
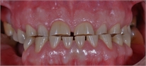
There are four types of tooth wear that we diagnose from patients’ mouths. Erosion, abrasion (I’m sorry for a missing link – I did not agree with any of the images of abrasion), abfraction and attrition. The easiest ones from these to diagnose are the erosion and attrition. You can’t go wrong with them. But it is completely different case with abfraction and abrasion.
When a dentist or a hygienist sees tooth wear on the neck of the tooth they diagnose it by default as abrasion caused by too vigorous brushing. If there are also receding gums on the same teeth as where the tooth wear is, the dentist makes a wrong conclusion easily. They recommend softer toothbrush and this silly brushing technique called Bass (it is so silly that I think I am going to dedicate one post entirely to this technique).
This normally leads into a situation where patient begins to be too careful with the brushing because she doesn’t want to cause further damage to the teeth. That’s when the plaque starts to build up to the gum line, gum gets inflamed because of the plaque and the patient begins to notice bleeding when brushing. Now she’s even more careful with the brushing as in her mind bleeding means she’s doing something wrong – brushing too hard like the dentist said she is. She’s afraid that the bleeding means her gums are receding.
But what if the dentist/hygienist misdiagnosed the tooth wear? What if the correct diagnosis was the abfraction?
Tooth wear – What to Check?
When you see a tooth wear that you are tempted to diagnose as abrasion, stop for a moment before you proceed giving advice on brushing. Instead do the following:
1. Check if there is mobility on the teeth affected by tooth wear
2. Check if there are interferences on side movements and protrusion
3. Check if there are shiny facets on occluding surfaces
4. Check if the gums have receded on affected sites.
If you get positive answer to even one question the chances are great for the tooth wear to be an abfraction. And in this case telling patient that the tooth wear is caused by her brushing can be damaging in many ways:
- It is hard to convince a patient that they are not actually brushing too hard and that they have not damaged their teeth by it. I have my ways of convincing the patient but life would be soooo much easier if I didn’t have to.
- The dentin will decay very easily (as I’m sure you know) and plaque accumulating and staying there undisturbed for longer period of time because of too careful brushing will very quickly cause decay. And we all know that these fillings in the cervical area can be pain in the butt. Somehow they always seem to have overhangs or they come off when scaling. Sound familiar?
- The teeth where the surface of the root (dentin) has been exposed by receding gums will get sensitive if the plaque builds up.
- If the tooth is mobile and has already bone loss the plaque building up to the gum line and inflaming the gum can be disastrous. Please memorise that
MOBILITY + PLAQUE = RAPID BONE LOSS
The Cause for Abfraction Needs to Be Dealt With
When a tooth interferes with full closure, it will trigger deflective interferences6-8 and cause any of the 7 signs and symptoms of occlusal disease such as hypersensitivity, abfractions, mobility, excessive wear or fractures, and muscle or temporomandibular (TM) pain.
There is no consensus amongst the dental professionals over the right approach to occlusion. Is this the reason why signs of interferences on occlusion are ignored or unchecked and the tooth wear is so easily made as patient’s fault?
The quote above is from an article The Three Golden Rules of Occlusion in dentistrytoday.com and you can read a full article here.
But by Whom?
To be honest – and like I have expressed in my previous post – I would not let just anyone touch my occlusion. I would love if the dentists would refer patients to the specialist in prosthodontics because they have the best knowledge and skills to treat the occlusion. And that’s something every patient is entitled to.
Guilt Is a Heavy Load to Carry
I have often noticed that patient feel unnecessarily guilty over damaging their teeth. They feel guilty and desperate over the fact that the damage done by brushing is irreversible. And that they are not sure if their brushing technique is still damaging their teeth hence too careful brushing to make sure they are not.
I believe that guilt does not lead us forward in life, it does not bring anything positive into our lives. Therefore I always try to relieve my patient’s guilt whenever it is possible.
In the case of tooth wear and some dental professionals way of putting the blame on patients’ brushing technique I always have the same conversation with a patient. It goes like this.
Me: Have you been told that you brush too hard?
Patient: Yes I have.
Me: I thought you might have. You see when a patient is told this, she starts to be too careful and then the plaque starts to build up and there is actually plaque in the gum line of your teeth. (I take a mirror and show the plaque to the patient)
Patient: Eww..
Me: I personally try not to tell patients that they are brushing too hard because this leads to too careful brushing which will cause more problems like decaying and gingivitis. Instead I interview the patients about how they brush their teeth and correct it if necessary. You see the tooth wear can be caused by other things than just vigorous brushing…
Prior to this conversation – in the beginning of the treatment – I have interviewed the patient and asked about her oral hygiene habits. Which brush she uses? How often? How often does she replace the brush head/brush? How does the brush head look like before replacing it? Spread or still like new apart from colour fading? This is why I can continue the above conversation like this.
Me: In your case I doubt it that the tooth wear is caused by your brushing but I will just in case show you the right technique. I will first just check couple of things…
And then I check the mobility, the interferences and the occluding surfaces. I feel great satisfaction when the teeth affected by tooth wear have mobility on the side movements. I am on the right path!
The patient is visibly relieved when they can stop worrying about their brushing. Well who wouldn’t be! There is enough to worry about in life even without worry over brushing.
You might also like
Don’t Let Just Anyone Touch Your Occlusion
